產品中心Cell Resources
聯系我們CONTACT US
18225607483
24小時服務熱線
355185756@qq.com銷售郵箱
產品詳情
六胺銀染色中腎小球囊基膜、腎小管上皮基膜、真菌、彈性纖維和網狀纖維都呈現出黑色,背景為金黃色。可用于觀察真菌的存在與否。一般染肺、腎等組織,如果是染存在菌體的肺,一般比較容易染出細胞核,不易與菌體區分,在泡ZGSJ時可以染到24h,顯影時候多換幾次染液,可達到不出核的效果。 六胺銀染腎組織切片時候觀察膜性腎病基底膜的釘突形成、淀粉樣變性腎病基底膜的雙軌和多軌改變。是其他染色不可替代的。
|
貨號 |
名稱 |
規格 |
價格(元) |
|
PY-1068 |
六胺銀染色 |
張 |
65 |
實驗結果展示:
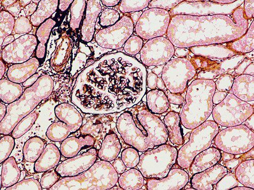
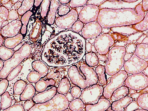
六胺銀染色-大鼠腎
實驗流程:
脫蠟至水-六胺銀染色-脫水封片-顯微鏡鏡檢。
(1)樣本接收:石蠟切片、細胞爬片、冰凍切片
(2)實驗步驟:脫蠟至水、超純水洗數次、組畫筆化圈,現配現用孵育液55-58℃滴染40-50后觀察顯色,若沒顯色好可用超純水洗干凈在重新滴染液孵育(進行式染色)若達到效果則脫水透明封片。
(3)實驗結果:染色好的玻片
結果判讀:
腎組織的腎小球囊基膜、腎毛細血管球基膜和腎小管上皮基膜呈黑色,背景粉紅色或橘紅色。其他組織真菌彈性纖維和網狀纖維呈灰黑色或棕黑色。
送樣運輸要求:
1.樣本放置于20倍樣本體積的固定液中固定24h以上,常溫運輸送樣。
切勿固定時間過長,切勿冷凍結冰。
2.石蠟切片常溫運輸。
注意事項:
1、若染菌則有肺、腎、植物組織等標本,一般顯色溫度相對較低一般在53-55攝氏度
2、若觀察腎小球基底膜則要將溫度相對高一點55-58攝氏度
3、染色時盡量保證溫度恒定
4、顯色后盡量不要將染液暴露在空氣中太久,配染液時四***鈉通常會結晶,應該將染料溶解充分后再配







