產品中心Cell Resources
聯系我們CONTACT US
18225607483
24小時服務熱線
355185756@qq.com銷售郵箱
產品詳情
免疫組化,是應用免疫學基本原理——抗原抗體反應,即抗原與抗體特異性結合的原理,通過化學反應使標記抗體的顯色劑(熒光素、酶、金屬離子、同位素)顯色來確定組織細胞內抗原(多肽和蛋白質),對其進行定位、定性及定量的研究,稱為免疫組織化學技術(immunohistochemistry)或免疫細胞化學技術(immunocytochemistry)。傳統的石蠟切片由于玻片的限制,大組織的形態結構不能完整的呈現在鏡下,特制大玻片和全景數字掃描可以很好的解決這一難題。
| 貨號 | 名稱 | 規格 | 價格(元) |
| FY-07255 | 免疫組化(大組織) | 張 | 98 |
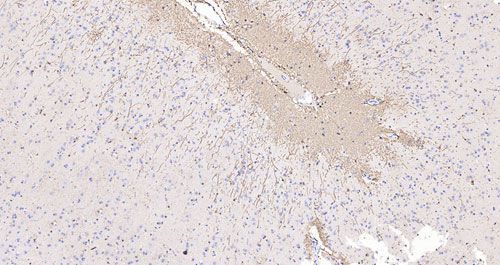
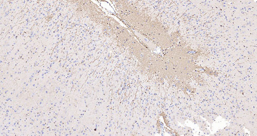
實驗結果展示:
猴腦IHC-GFAP_0.2x
猴腦IHC-GFAP_10.0x
實驗流程:
切片脫蠟至水-抗原修復-3%的雙氧水處理-畫圈-血清封閉-一抗4℃過夜孵育-二抗室溫孵育-顯色-蘇木素染核-脫水、透明、封片-鏡檢
送樣運輸要求:
樣本放置于20倍樣本體積的固定液中固定24h以上,常溫運輸送樣。
切勿固定時間過長,切勿冷凍結冰。








