產品中心Cell Resources
聯系我們CONTACT US
18225607483
24小時服務熱線
355185756@qq.com銷售郵箱
產品詳情
普通光學顯微鏡用于生物研究,其作用主要是將觀察的標本放大,連接CCD后可以將觀察的視野保存圖片形式,以便留存和分析。
正置顯微鏡型號:NIKON Eclipse ci;軟件:NIS_F_Ver43000_64bit_E;成像系統:NIKON digital sight DS-FI2。可選擇 20×、40×、100×、200×和400×不同放大倍數。
| 貨號 | 名稱 | 規格 | 價格(元) |
| BY-80121 | 拍照(白光) | 6張圖片/張 | 15 |
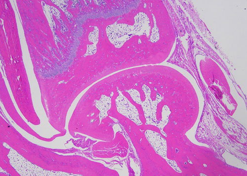
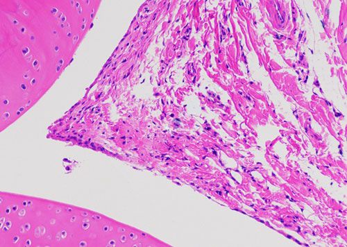
實驗結果展示:

實驗流程:
(1)樣片接收:石蠟切片、細胞爬片、冰凍切片等
(2)實驗步驟:按要求選擇相應視野以及倍數拍照
(3)實驗結果:實驗結果:圖片×6(常規同視野下200×3、400×3)
注意事項:
(1) 拍照倍數可選;
(2) 默認圖片格式JPG,可備注TIF格式保存;
(3) 默認圖片分辨率大小為1280*960或1440*1024;
(4) 默認圖片不加標尺,需要請在交接單上注明。也可后期在圖片的基礎上加;
(5) 如無拍照要求,即按常見的部位拍,例如:肝中央靜脈、腦皮層海馬、腎小球等,特殊染色以及免疫組化陽性部位。
送樣運輸要求:
切片盒保存運輸。








