產品中心Cell Resources
聯系我們CONTACT US
18225607483
24小時服務熱線
355185756@qq.com銷售郵箱
產品詳情
人工智能AI病理圖像分析系統
軟件特點:
AI病理分析能讓結果更準確,更全面,讓實驗更高效
軟件介紹:
萬物生物科技有限公司開發的AI病理圖像分析系統,利用最前沿的人工智能算法,整合上萬例的基礎數據進行深度學習。
1、組織芯片自動編號。
2、自動識別組織輪廓并進行分區。
3、自動識別陽性細胞,并進行陽性等級劃分。
4、自動進行陽性細胞計數,計算陽性面積。
全流程化、標準統一化、多指標自動化,計算分析病理圖像。
分析內容:
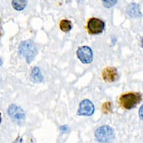
對免疫組化陽性強弱評價的指標較多,賽維爾AI病理分析系統可結合切片陽性表達情況一次性分析得出以下數據供您選擇。
免疫組化陽性細胞強度分析:陽性率(陽性細胞數/細胞總數);陽性細胞密度(陽性細胞數/待測組織面積);平均光密度(陽性累積光密度IOD值/陽性面積);H-score;陽性評分(0-12分)。
分析圖像類型:
1、掃描文件格式:MIRAX (mrxs);
2、圖片格式:jpg或tif且分辨率不能超過3000×3000;
3、面積類需要200倍放大下成像的圖片或掃描文件,個數類的需要400倍。
分析結果
|
圖片名稱 |
陽性細胞比率 |
陽性細胞密度 |
平均光密度值 |
H-Score |
陽性評分 |
|
|
|
|
|
|
|
分析過程展示圖














