產品中心Cell Resources
聯系我們CONTACT US
18225607483
24小時服務熱線
355185756@qq.com銷售郵箱
產品詳情
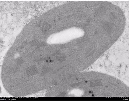
透射電子顯微鏡(Transmission Electron Microscope,簡稱TEM),可以看到在光學顯微鏡下無法看清的小于0.2um的細微結構,這些結構稱為亞顯微結構或超微結構。
實驗流程:
(1)樣本接收:鉛鈾雙染銅網+電鏡送樣單(附拍照要求)
(2)實驗步驟:染色好的銅網上機觀察(放大倍數0.2K-600K)根據實際情況選取合適倍數合適視野拍照
(3)實驗結果:15張TIFF格式圖片
注意事項:
1.拍照需要求簡潔清楚,有側重點。需附參考圖或參考文獻(如有特殊要求請提前備注說明)
2.拍照倍數由參考文獻效果圖來確定(不同機器不同廠家倍數標準不同,不能互通參考)
3.圖片本身左下角附有拍照倍數(X-K 單位千倍),右下角附有標尺(十格總長即為標尺所注長度)
實驗效果圖展示:
1、小鼠骨骼肌
2、腸上皮緊密連接
3、葉綠體
4、自噬溶酶體
5、外泌體
送樣運輸要求:
銅網,常溫運輸










