科研好幫手 專業生產商
本公司產品僅供科研使用
18225607483
購物車
貨號:PY-10622
規格:張
價格: ¥ 85.00
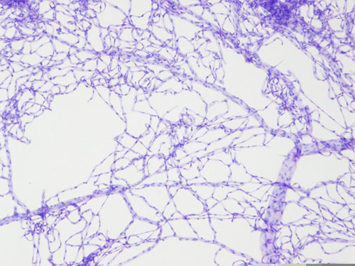
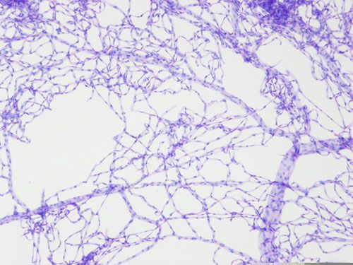
PAS染色又稱過碘酸雪夫染色,糖原染色。一般用來顯示糖元和其它多糖物質。過碘酸能使細胞內的多糖乙二醇基氧化成二醛,再與Schiff氏液的無色品紅結合,紅色,定位于胞漿上
實驗結果展示:
PAS染色-大鼠視網膜血管網鋪片
結果判讀:
視網膜毛細血管呈紅色,細胞核呈藍色。
實驗流程:
眼球剝取-消化-吹打及鋪片-PAS染色。
送樣運輸要求:
多聚甲醛固定的眼球
友情鏈接: 科研細胞 病理實驗 石蠟切片 細胞系 原代細胞
本站所展示的所有內容,僅限于科學研究,科研或工業等非醫療目的,不得用于臨床診斷或治療等醫療目的。
合肥德爾夫生物科技有限公司 Copyright © 2025 版權所有,并保留所有權利
地址:合肥市蜀山區長江西路248號11層
電話: 18225607483
郵箱:355185756@qq.com
皖ICP備2022000945號-2
微信
手機訪問