產品中心Cell Resources
聯系我們CONTACT US
18225607483
24小時服務熱線
355185756@qq.com銷售郵箱
產品詳情
一、實驗器材及試劑
1、實驗器材
| 名稱 | 廠家 | 型號 |
| 脫水機 | 武漢俊杰電子有限公司 | JJ-12J |
| 包埋機 | 武漢俊杰電子有限公司 | JB-P5 |
| 病理切片機 | 上海徠卡儀器有限公司 | RM2016 |
| 凍臺 | 武漢俊杰電子有限公司 | JB-L5 |
| 組織攤片機 | 浙江省金華市科迪儀器設備有限公司 | KD-P |
| 烤箱 | 天津市萊玻瑞儀器設備有限公司 | GFL-230 |
| 載玻片 | 萬物 | |
| 正置光學顯微鏡 | 日本尼康 | Nikon Eclipse E100 |
| 成像系統 | 日本尼康 | Nikon DS-U3 |
2、主要實驗試劑
| 試劑名稱 | 廠家 | 貨號 |
| 二甲苯 | 國藥集團化學試劑有限公司 | 10023418 |
| 亞甲基藍染液 | 萬物 | PY-10619 |
| 中性樹膠 | 國藥集團化學試劑有限公司 | 10004160 |
二、實驗步驟
1、石蠟切片脫蠟至水:依次將切片放入二甲苯Ⅰ20min-二甲苯Ⅱ20min-無水乙醇Ⅰ5min-無水乙醇Ⅱ5min-75%酒精5min,自來水洗。
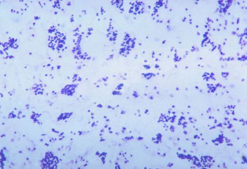
2、亞甲基藍染色:切片用亞甲基藍染液染色5-10min,自來水洗,將切片放置烤箱內烤干。
3、透明封片:切片入干凈的二甲苯透明5min,中性樹膠封片。
4、顯微鏡鏡檢,圖像采集分析。
三、結果判讀:
植物組織的形態結構清晰。







