產品中心Cell Resources
聯系我們CONTACT US
18225607483
24小時服務熱線
355185756@qq.com銷售郵箱
產品詳情
一、實驗器材及試劑
1、實驗器材
| 名稱 | 廠家 | 型號 |
| 脫水機 | 武漢俊杰電子有限公司 | JJ-12J |
| 包埋機 | 武漢俊杰電子有限公司 | JB-P5 |
| 病理切片機 | 上海徠卡儀器有限公司 | RM2016 |
| 凍臺 | 武漢俊杰電子有限公司 | JB-L5 |
| 組織攤片機 | 浙江省金華市科迪儀器設備有限公司 | KD-P |
| 烤箱 | 天津市萊玻瑞儀器設備有限公司 | GFL-230 |
| 載玻片 | 萬物 | |
| 正置光學顯微鏡 | 日本尼康 | Nikon Eclipse E100 |
| 成像系統 | 日本尼康 | Nikon DS-U3 |
2、主要實驗試劑
| 試劑名稱 | 廠家 | 貨號 |
| 無水乙醇 | 國藥集團化學試劑有限公司 | 100092683 |
| 鹽酸 | 國藥集團化學試劑有限公司 | - |
| 冰醋酸 | 國藥集團化學試劑有限公司 | - |
| 改良苯酚品紅染液 | 萬物 | PY-10618 |
| 甘油明膠封片劑 | 萬物 |
|
二、實驗步驟
1、取材:查閱相關植物對應的根尖分裂旺盛期,在此期間剪取新生根尖約2-3cm,純水稍洗凈。
2、預處理:用秋水仙素或者8-羥基喹啉預處理或者置于純水中4℃處理約24h(選做)。
3、固定:取出根尖置于卡諾氏固定液(無水乙醇:冰醋酸=3:1混勻)中4℃固定約1-4h,轉移根尖至75%的乙醇中保存;
4、低滲:取出根尖純水稍洗2遍,置于純水中浸泡約30min;
5、解離:取出根尖置于1M HCL溶液中60℃處理10-30min,純水洗2遍,置于純水中浸泡約30min;
6、取材染色:將根尖用純水清洗2遍后置于載玻片上,切取根尖分生區并撥散,組畫筆畫圈,晾干或者稍烤干分生區組織細胞,滴加改良苯酚品紅染液染色15-35min;
7、壓片:直接用染色液封片,稍吸除多余的染色液,蓋玻片上覆蓋濾紙,用橡皮擦或者手指平整地按壓玻片進行壓片,分散染色體;
8、封片:將制好的玻片放置-20℃下冰凍約10min,取出后用刀片從蓋玻片一角迅速撬開,晾干或烤干載玻片和蓋玻片,甘油明膠或中性樹膠封片。
9、顯微鏡鏡檢,圖像采集分析。
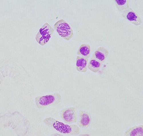
三、結果判讀:
染色體呈深的紫紅色,背景淺的紫紅色或者無色。
四、注意事項:
1、若固定后的根尖暫時不使用,保存在75%的乙醇中,下次使用前需要再次固定,4℃條件下約4h。
2、壓片過程中,防止蓋玻片移動或者破裂,得到數量清晰的染色體,此步驟操作較難成功。
3、改良苯酚品紅染色液陰涼通風處可保存1年不變質。







